
Nie tylko ludzie, ale i zwierzaki zapadają na ciężkie choroby. Często jedynym ratunkiem dla nich i szansą na godne życie jest operacja. Te jednak, podobnie jak w przypadku ludzkich operacji, potrafią być bardzo kosztowne, i przekraczają możliwości finansowe jego właścicieli. W takiej właśnie sytuacji znalazła się pięciomiesięczna „mieszkanka” Szczecinka – Dejzi.
- Mam na imię Dejzi, jestem owczarkiem niemieckim długowłosym – czytamy na specjalnym profilu chorej suczki, utworzonym na Facebooku (https://www.facebook.com/dejziowczarekniemiecki). - Mam w sobie mnóstwo energii i miłości, którymi zarażam wszystkich dookoła. Niestety od jakiegoś czasu coś nie daje mi możliwości cieszenia się z życia, które tak bardzo kocham. Po ostatnim spacerze, podczas wycierania łapek, zaczęło mnie coś strasznie boleć. Płakałam przy każdym dotyku moich łapek. Nie czekając długo moi właściciele zabrali mnie do pana weterynarza, podali mi jakieś środki i szybko zasnęłam. Przez ten czas weterynarz zrobił mi prześwietlenie RTG moich bioderek. Kiedy próbowałam się wybudzić widziałam, że moja pani strasznie płacze…
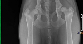
Badanie rentgenowskie wykazało, że Dejzi choruje na dysplazję stawów biodrowych, przy czym w lewej łapie stan ten jest już bardzo zaawansowany. Przy postępującej chorobie już za kilka miesięcy zwierzak nie będzie mógł chodzić, a każdy ruch okupiony będzie ogromnym bólem. Jedynym ratunkiem dla czworonoga jest operacja wymiany stawów biodrowych na implanty, która może być przeprowadzona w niemieckiej klinice weterynaryjnej. Ta jednak okazuje się być bardzo kosztowna.
- Już teraz chodzenie sprawia Dejzi straszny ból. Za pół roku, czyli w wieku ok 11 miesięcy, musi mieć przeprowadzoną operację, która najpewniej będzie wykonana w Niemczech. Co prawda można tak zabieg zrobić w Polsce, jednak u nas nie ma takich specjalistów i tego typu operacje są przeprowadzane bardzo rzadko. A u naszych zachodnich sąsiadów wstawienie takich implantów wykonywane jest praktycznie codziennie. To daje Dejzi znacznie większe szanse na powodzenie operacji. Sam nasz weterynarz polecił nam właśnie klinikę w Niemczech – mówi Emilia Sikora, właścicielka suczki.
- Dejzi będzie coraz bardziej cierpieć, wkrótce może przestać chodzić. Dlatego tylko operacja może sprawić, że będzie mogła jeszcze cieszyć się życiem, spacerami i poruszać się bez bólu. Niestety, taki zabieg jest niezwykle kosztowny, a całą kwotę musimy zebrać do lipca. Wiedziałam, że pies to wydatek, ale nigdy nie sądziłam, że aż taki, że coś takiego nam się przytrafi – kontynuuje nasza rozmówczyni. – Koszt operacji jednej łapy to 1,5 tys. euro, czyli ponad 6 tys. zł. Operacja dwóch łap wyniesie nas łącznie ponad 12 tys. zł. Już nie wliczam w to kosztów rehabilitacji, leków, transportu i pobytu w Niemczech. To ogromna suma i zwyczajnie nie mam środków na pełne opłacenie operacji. Oczywiście będę robiła wszystko, aby udało mi się do lipca zebrać całą kwotę. I ogromnie dziękuję każdemu, kto zechce nas wspomóc w walce o zdrowie Dejzi i podarować jej drugie życie.
Opiekę nad chorym czworonogiem objęła już oficjalnie Fundacja Ochrony Zwierząt Animal Security. To za jej pośrednictwem zbierane są środki na operację zwierzaka.
Każdy, kto zechce wesprzeć akcję i dać szansę Dejzi na normalne psie życie, może to zrobić odwiedzając stronę https://www.siepomaga.pl/r/dejziowczarekniemiecki) lub przekazując darowiznę na adres:
Fundacja Ochrony Zwierząt Animal Security
ul. Hetmańska 54, 60-219 Poznań
NR KONTA: 29 2490 0005 0000 4600 8900 8559
TYTUŁ PRZELEWU: Dejzi
Foto: Emilia Sikora
Jeśli jeszcze tego nie zrobiłeś koniecznie zainstaluj naszą aplikację, która dostępna jest na telefony z systemem Android i iOS.
Chcesz być na bieżąco z wieściami z naszego portalu? Obserwuj nas na Google News!
Twoje zdanie jest ważne jednak nie może ranić innych osób lub grup.
Komentarze opinie