
Blisko 32 mln zł przeznaczył samorząd województwa na walkę z koronawirusem. Środki przekazane w ramach Zachodniopomorskiego Pakietu Antykryzysowego trafią do szpitali wojewódzkich, powiatowych, resortowych i klinicznych oraz do ratownictwa medycznego. Z pieniędzy skorzysta również Szpital w Szczecinku. Z przekazanej sumy ma zostać zakupiony nowoczesny aparat RTG.
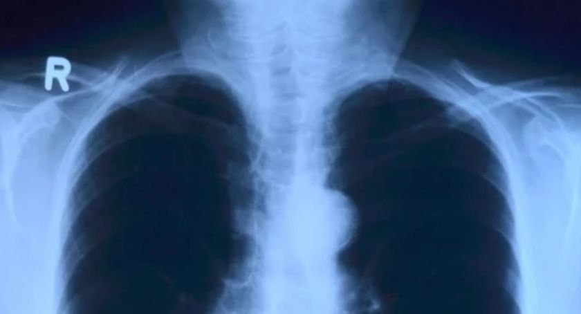
O potrzebach, jakie obecnie ma szczecinecki szpital, poinformował starosta Krzysztof Lis. Jak podkreślił, jedną z nich jest właśnie mocno wyeksploatowany aparat RTG. Urządzenie nie działa w sieci cyfrowej, a zdjęcia analogowe są trudniejsze do odczytywania. Aparat jest niezbędny przy wykonywaniu diagnostyki płuc.
Warto przypomnieć, że dzięki wsparciu szczecinecki szpital wydzierżawił również cztery kontenery, w których przeprowadzane są testy na obecność COVID-19.
Jeśli jeszcze tego nie zrobiłeś koniecznie zainstaluj naszą aplikację, która dostępna jest na telefony z systemem Android i iOS.
Chcesz być na bieżąco z wieściami z naszego portalu? Obserwuj nas na Google News!
Twoje zdanie jest ważne jednak nie może ranić innych osób lub grup.
Komentarze opinie